A sore or white tongue is not usually serious and is often easily treated.
Things you can do if you have a sore or white tongue
Do
-
use a soft toothbrush to brush your teeth
-
brush your tongue or use a scraper to help improve a white tongue
-
use a straw to drink cool drinks
-
take paracetamol or ibuprofen
Don’t
-
do not use a toothpaste that contains sodium lauryl sulphate
-
do not eat spicy, acidic or hot food and drink that may irritate your tongue
-
do not smoke
-
do not drink alcohol
A pharmacist can help with a sore or white tongue
You can ask a pharmacist:
- what's causing your sore or white tongue
- if you can buy anything to help with any pain or irritation
- if you should see a dentist or GP
Non-urgent advice: See a GP or dentist if:
- you have tongue pain or itchiness that does not go away or gets worse
- you have white patches on your tongue
Common causes of a sore or white tongue
Biting or burning your tongue with hot food or drink can cause pain and swelling. This should only last a few days.
A white tongue can be a sign of a health condition, such as anaemia, scarlet fever, lichen planus, leukoplakia, geographic tongue, mouth ulcers or oral thrush.
But do not self-diagnose. See a GP if you're worried.
Lichen planus
Read about lichen planus.
Leukoplakia
Read about leukoplakia.
Geographic tongue
Find out more about geographic tongue on the Oral Health Foundation website
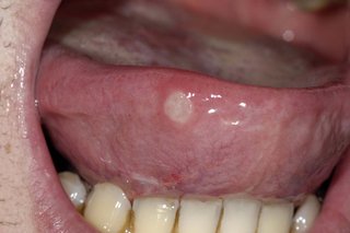
Mouth ulcer
Read about mouth ulcers.
Oral thrush (mouth thrush)
Read about oral thrush (mouth thrush).
Page last reviewed: 16 May 2023
Next review due: 16 May 2026